Clear aligners in Kirkby Lonsdale in Cumbria

Welcome to Lonsdale Dental Practice, your trusted destination for clear aligners in Kirkby Lonsdale in Cumbria, proudly serving patients from Settle, Bentham, and Lancaster.

Clear aligners provide a modern, discreet, and comfortable alternative to traditional braces, helping patients straighten their teeth while maintaining their confidence. Designed to fit seamlessly into everyday life, they allow you to eat, speak, and smile without disruption.

In this guide, we’ll explain everything you need to know about clear aligners in Kirkby Lonsdale in Cumbria—from how they work to the many benefits they offer—so you can make an informed decision about your orthodontic journey.

What are Clear aligners?

Clear aligners are removable, nearly invisible orthodontic appliances designed to gently shift teeth into their correct position. Made from durable medical-grade plastic, they are custom-fitted for each patient using digital scans and advanced 3D planning. At Lonsdale Dental Practice, we use cutting-edge technology to design aligners that are precise, comfortable, and effective. Clear aligners are an excellent choice for patients who want a discreet solution, allowing them to smile, speak, and socialise confidently throughout treatment. With our expertise in clear aligners in Kirkby Lonsdale in Cumbria, patients benefit from a treatment that is tailored to their lifestyle and needs.

100

Years of
experience

100 Years of Combined Experience

With 100 years of combined experience, an acute awareness of new techniques and technologies and an inbuilt desire to make a difference to patient’s smiles, we provide strong foundations on which we can provide excellent dental care.

When it comes to giving patients a smile to be proud of, Lonsdale Dental Practice is the dentist to trust!

Benefits of Clear Aligners

Discreet Treatment

Discreet Treatment

Clear aligners are nearly invisible, allowing for discreet teeth straightening without drawing attention.

Comfortable Wear

Comfortable Wear

Made from smooth plastic, clear aligners minimize irritation to gums and cheeks, unlike traditional braces with metal brackets and wires.

Removable Design

Removable Design

Clear aligners are removable for eating, drinking, brushing, and flossing, making oral hygiene maintenance easier and allowing for enjoyment of favorite foods.

Customized Treatment

Customized Treatment

Clear aligners can address a variety of orthodontic issues, from crowding to mild to moderate bite problems, for both teenagers and adults.

Predictable Results

Predictable Results

Designed to gradually shift teeth into desired positions according to a predetermined plan, clear aligners offer predictable results that patients can visualize before treatment begins.

Our Team

Clear aligners in Kirkby Lonsdale in Cumbria

At Lonsdale Dental Practice, we are proud to offer modern orthodontic solutions such as clear aligners in Kirkby Lonsdale in Cumbria. Designed to straighten teeth discreetly and comfortably, clear aligners are ideal for patients who want to improve their smile without the visibility of traditional braces. Our team combines advanced digital technology with years of orthodontic expertise to create personalised treatment plans. From initial consultation to your final smile, we focus on precision, comfort, and results. Patients across the region trust us for orthodontic care that blends innovation with an empathetic, patient-first approach.

What are the benefits of Clear aligners?

Choosing clear aligners offers several advantages over traditional orthodontics. They are virtually invisible, allowing patients to undergo treatment without noticeable appliances. Being removable, aligners make it easier to maintain good oral hygiene and enjoy meals without restrictions. At Lonsdale Dental Practice, we provide clear aligners in Kirkby Lonsdale in Cumbria that are custom-made for comfort and precision, ensuring predictable results. Patients also appreciate the convenience of fewer appointments and quicker progress updates through digital planning. With benefits that combine aesthetics, comfort, and practicality, clear aligners represent a modern, patient-friendly approach to achieving a straighter, healthier smile.

Contact Us Now

Request further information.

Are braces better than Clear aligners?

Both braces and clear aligners are effective orthodontic solutions, but the right choice depends on the complexity of the case. Braces may be more suitable for severe misalignments, while aligners are ideal for patients seeking a discreet, removable option. At Lonsdale Dental Practice, we guide patients through the pros and cons of each method, ensuring they make the decision that best suits their goals and lifestyle. By offering both treatments, we ensure flexibility and choice. Patients interested in clear aligners in Kirkby Lonsdale in Cumbria can trust our team to recommend the most suitable option for lasting results.

Clear aligners in Kirkby Lonsdale in Cumbria
Our Clients
What Our Patients Think About Us

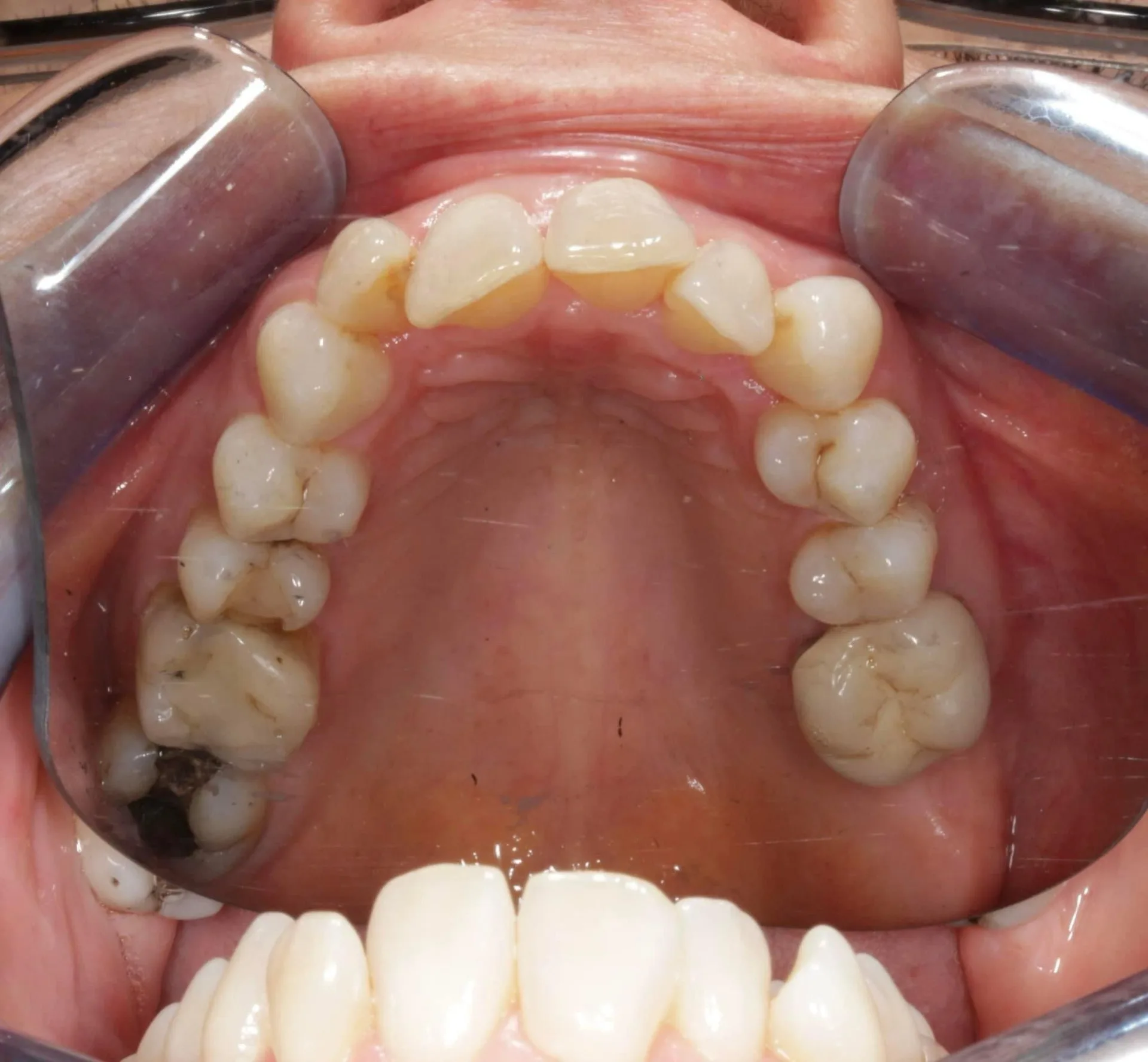
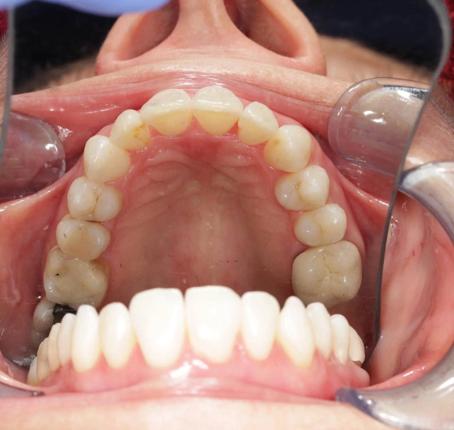
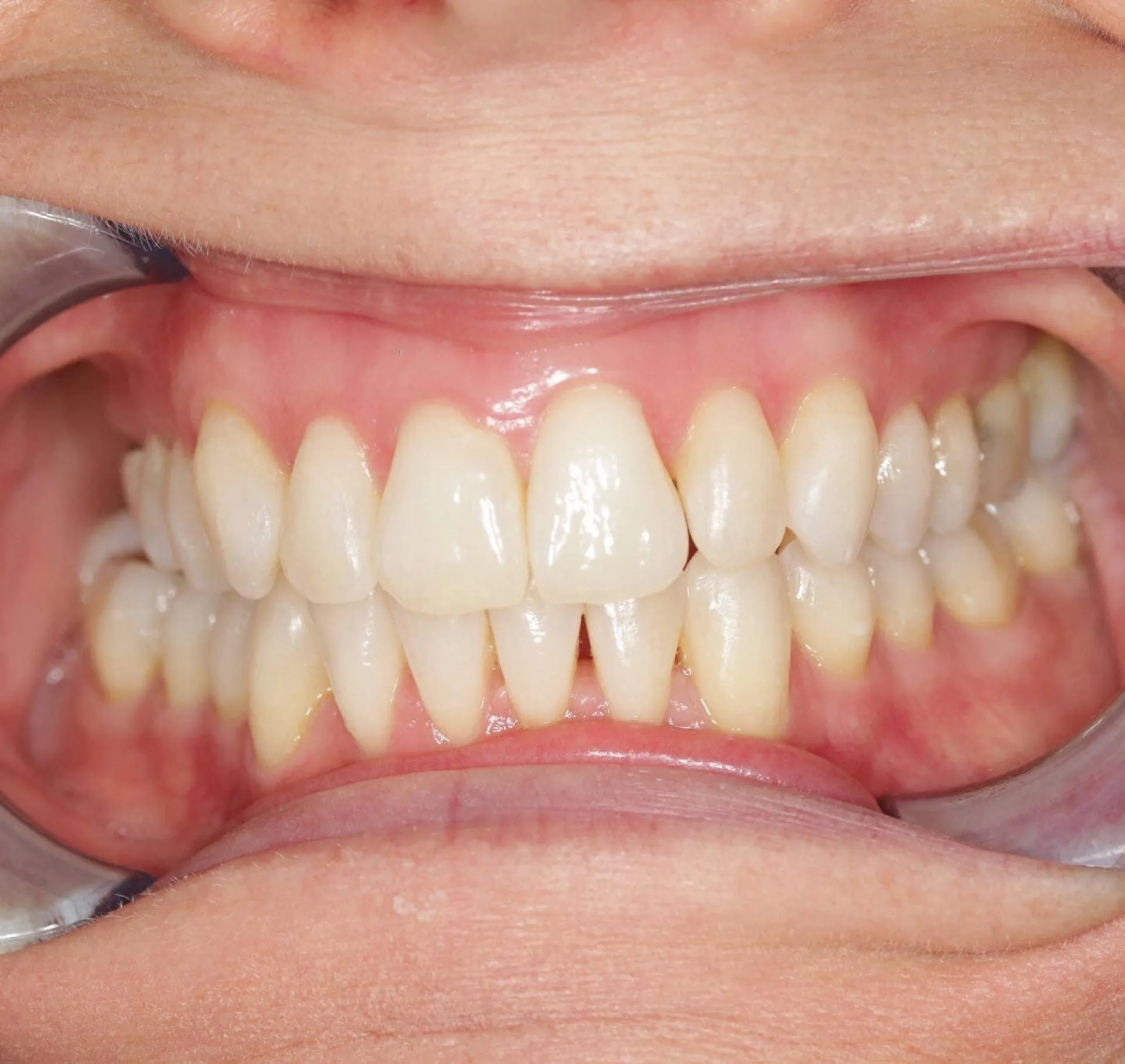
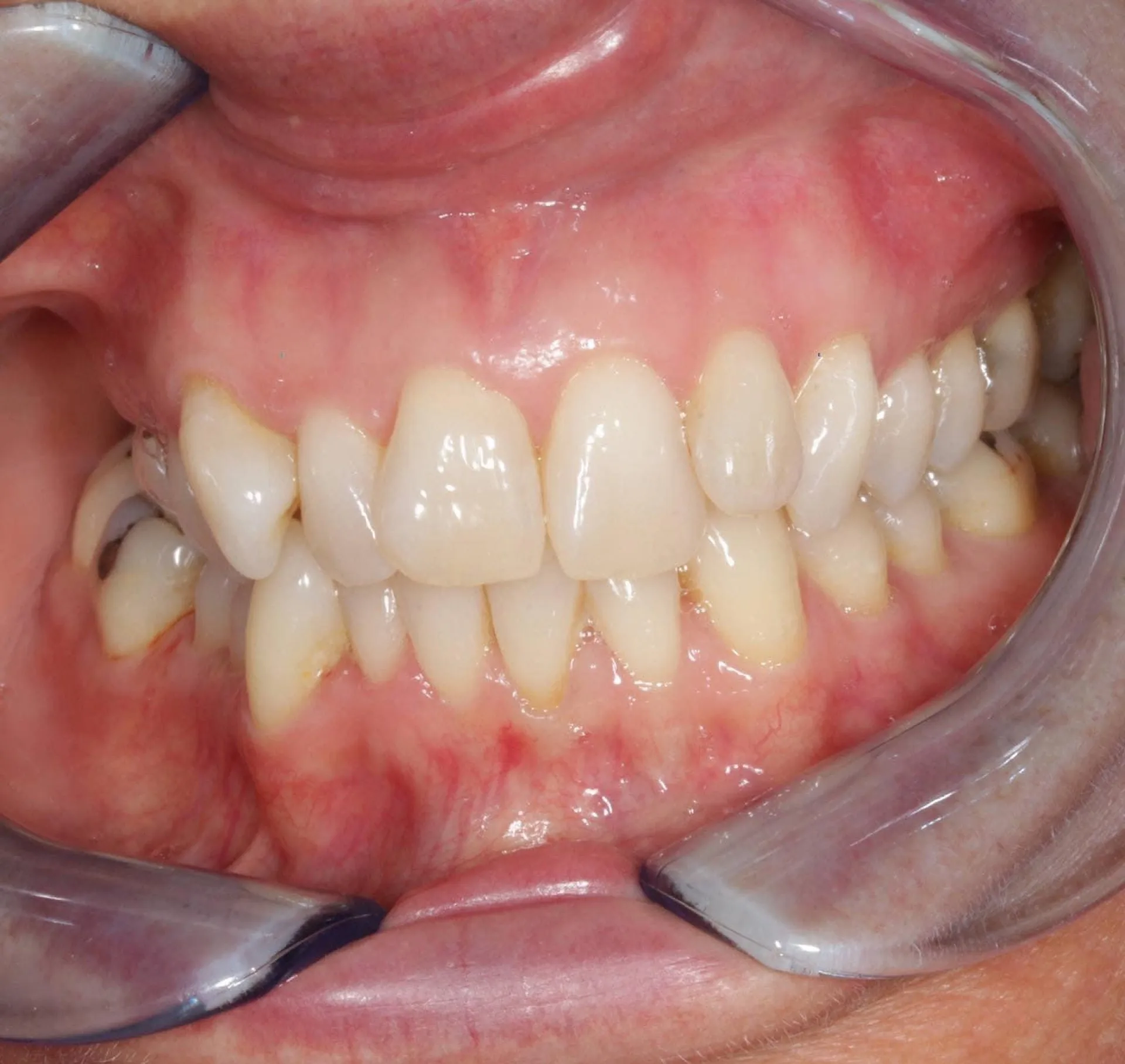
Patient Cases – Before & After

Patient Testimonials: Real Stories, Real Results

Before
After
Before
After

How does Clear aligners work?

Clear aligners work by applying gentle, controlled pressure to teeth, guiding them into their ideal position step by step. Each set of aligners is worn for around two weeks before being replaced with the next in the series, gradually moving teeth closer to the desired outcome. At Lonsdale Dental Practice, we use digital scans and 3D technology to design a personalised treatment plan, allowing patients to preview their expected results before starting. By choosing clear aligners in Kirkby Lonsdale in Cumbria, patients benefit from a highly accurate and customised orthodontic solution that combines science, comfort, and aesthetics.

How much does Clear aligners cost?

The cost of clear aligners depends on the complexity of the case and the length of treatment. At Lonsdale Dental Practice, we pride ourselves on transparency, offering clear information about fees so patients can make informed decisions. While clear aligners in Kirkby Lonsdale in Cumbria represent an investment, they deliver significant long-term benefits in terms of both oral health and confidence. Our team focuses on creating tailored solutions that provide excellent value for money, combining advanced technology with professional expertise. For detailed information, we invite patients to visit our Price List page, where all fees are outlined clearly.

What our patients say about us

Follow Us on Facebook

Latest news and updates

Follow Us on Intagram

Latest news and updates

Payment Options and Fees

Discover our treatment options and clear pricing — no surprises, just honest dentistry tailored to you.

How long does Clear aligners take to work?

Treatment time with clear aligners varies depending on individual needs, but many patients achieve results within 6 to 18 months. At Lonsdale Dental Practice, we create a personalised timeline based on a detailed digital assessment, ensuring that patients know what to expect before treatment begins. Regular reviews and adjustments help keep the process on track, with progress visible as teeth gradually shift into place. Patients choosing clear aligners in Kirkby Lonsdale in Cumbria benefit from predictable, well-managed treatment schedules that deliver long-lasting results, balancing speed with precision to create smiles that are both healthy and aesthetically pleasing.

Does Clear aligners hurt?

Wearing clear aligners may cause mild discomfort when starting a new set, as the teeth begin to shift. However, this sensation usually eases within a few days and is generally less noticeable than with fixed braces. At Lonsdale Dental Practice, we design aligners for maximum comfort, ensuring they fit securely and gently. Our patients report that any initial tightness quickly becomes manageable. By choosing clear aligners in Kirkby Lonsdale in Cumbria, patients can undergo orthodontic treatment with minimal disruption to daily life, enjoying a straighter smile without the discomfort often associated with traditional orthodontic appliances.

3 Easy Steps to Your Smile

step 1

Visit our Clinic

1

step 2

Get your Quote

2

step 3

Start a Treatment

3

Can Clear aligners fix overbite?

Yes, clear aligners can effectively correct mild to moderate overbites by gradually repositioning the teeth and aligning the bite. At Lonsdale Dental Practice, we use advanced digital technology to plan precise movements, ensuring results that are both functional and aesthetic. Complex cases may require additional orthodontic solutions, but aligners remain an excellent option for many patients seeking discreet treatment. Patients choosing clear aligners in Kirkby Lonsdale in Cumbria benefit from a solution that not only improves appearance but also enhances oral health by correcting bite problems that could otherwise lead to jaw discomfort or uneven tooth wear.

Are Clear aligners worth it?

For patients looking for an effective yet discreet way to straighten teeth, clear aligners are often worth the investment. They provide reliable results, improved comfort, and the ability to maintain normal eating and cleaning routines. At Lonsdale Dental Practice, we create customised aligners that suit both simple and complex orthodontic cases. With fewer visits required compared to traditional braces, aligners fit seamlessly into busy lifestyles. Choosing clear aligners in Kirkby Lonsdale in Cumbria ensures that patients receive a treatment that is efficient, minimally invasive, and focused on delivering long-lasting results, making the experience both rewarding and worthwhile.

How to reach the Dental Practice

No matter where you’re coming from, Lonsdale Dental Practice is easy to reach. Whether you’re traveling by car, train, or bus, we offer clear directions from key nearby towns including Lancaster, Kendal, Morecambe, Heysham, Skipton, Carnforth, Sedbergh, Ingleton, and Oxenholme. Our practice is located in the heart of Kirkby Lonsdale, with convenient parking available right in front of the practice. 

From Kendal

From the North (Kendal / M6 Junction 36): Take the A65 towards Kirkby Lonsdale. At the roundabout, follow signs for Kirkby Lonsdale town centre. Continue on Main Street and turn onto Tram Lane, where the practice is located.

From Lancaster

From the South (Lancaster / Carnforth): Drive along the A683 or A65 heading north towards Kirkby Lonsdale. Follow signs into the town centre, then continue on Main Street before turning onto Tram Lane.

From Morecambe

From Morecambe: Take the train from Morecambe station to Lancaster. From Lancaster, transfer to a train heading towards Oxenholme or Kendal. Get off at Oxenholme station and take a short taxi ride (around 20 minutes) to Lonsdale Dental Practice in Kirkby Lonsdale.

From Oxenholme

From the North (Oxenholme / Kendal): Take a train to Oxenholme Lake District station. From there, a short taxi ride (around 20 minutes) will bring you directly to Kirkby Lonsdale.

From Heysham

From Heysham: Take the Stagecoach 3 or 3A service towards Morecambe, then transfer to the 81/81A service to Kirkby Lonsdale. Once in the town centre, Tram Lane and the practice are just a short walk away.

From Skipton

From Skipton: Take the Stagecoach 580 service towards Settle, then transfer to the 567 service to Kirkby Lonsdale. From the town centre, walk to Tram Lane to reach the practice.

Parking

Parking is available directly in front of Lonsdale Dental Practice on Tram Lane. Additional public parking spaces are located within a short walk in Kirkby Lonsdale town centre.

Lancaster: Drive via the A683 eastbound towards Caton, then follow signs for Kirkby Lonsdale. Continue straight into the town centre.

Kendal
: ake the A65 southbound directly towards Kirkby Lonsdale. Continue into the town centre and turn onto Tram Lane.

Morecambe
: Drive along the A589 to Lancaster, then follow signs for the A683 to Kirkby Lonsdale. 

Heysham
: Take the A5105 towards Morecambe, then head along the A589 to Lancaster. From there, take the A683 towards Kirkby Lonsdale.

Skipton
: Take the A65 westbound towards Kirkby Lonsdale. Continue into the town centre to Tram Lane.

Carnforth: Drive via the A65 towards Kirkby Lonsdale, passing through Burton-in-Kendal. Continue into the town centre, then turn onto Tram Lane for Lonsdale Dental Practice.

Our Clinic